新三水网站-新三水淼才网-佛山相亲派

查看: 2535|回复: 1

[三水政能量] 告别带状疱疹后剧痛,精准植入“体内止痛泵”——我院疼痛与睡眠医学中心成功实施...

[复制链接]
发表于 2026-1-26 09:24 | 显示全部楼层 |阅读模式 | 来自广东
近日,我院疼痛与睡眠医学中心成功为一名备受带状疱疹后神经痛折磨的患者钱女士实施了脊髓神经电刺激(SCS)植入术。此项微创介入技术的成功开展,标志着我院在慢性顽固性神经痛治疗领域取得了新突破,为众多药物难治性疼痛患者带来了新的希望。

顽固疼痛,彻夜难眠
难以承受的“后遗症”
患者钱女士一个月前无明显诱因出现左侧腰腹部带状疱疹,虽经治疗疱疹消退,却遗留了严重的后遗症——带状疱疹后神经痛。局部持续的刺痛、触痛,尤其在夜深人静时加剧,使她难以入睡,严重影响了睡眠质量和日常生活。尽管日间可通过转移注意力稍缓不适,但病痛始终如影随形,令其身心俱疲。为求进一步诊疗,钱女士以“带状疱疹后神经痛”入住我中心。

精准评估,尖端方案
定制“神经调控”策略
面对钱女士复杂的病情,疼痛与睡眠医学中心团队进行了全面细致的评估。考虑到其疼痛性质顽固、对睡眠影响显著,且药物治疗效果有限,团队经慎重讨论,决定为其施行目前国际先进的脊髓神经电刺激植入术。该技术被誉为“体内止痛泵”,通过将微电极植入脊髓特定节段,发放弱电脉冲,干扰和阻断疼痛信号向大脑传递,从而有效缓解疼痛。

fd664a97e43e246620d6d4396ece3640.png
微创植入 ,精准调控
手术全程顺利平稳
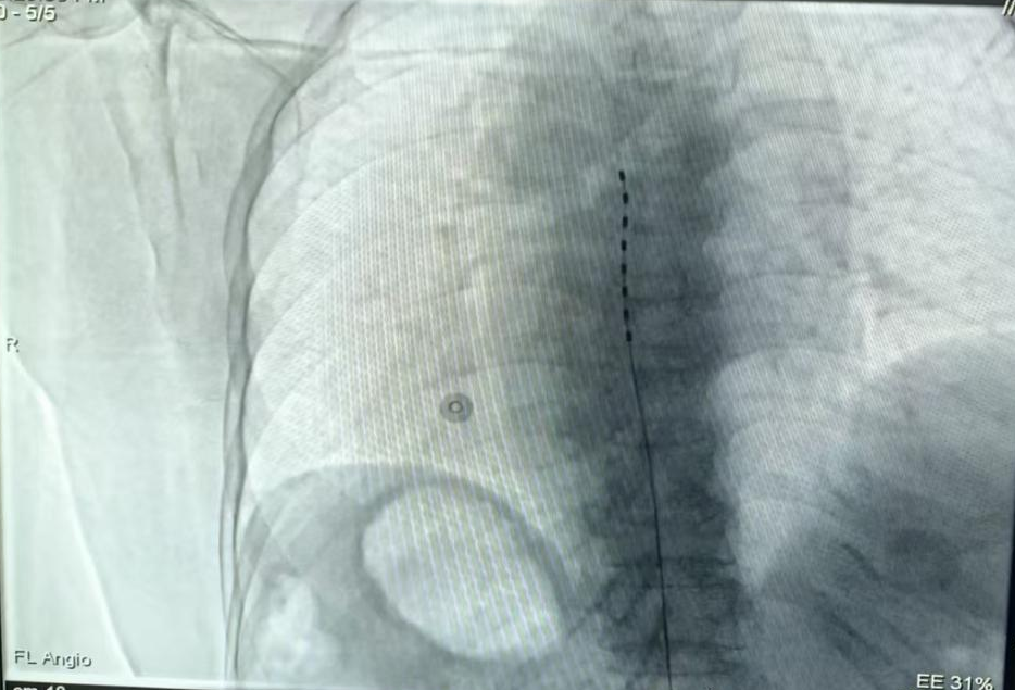
经过完善的术前准备,手术如期进行。在先进的数字减影血管造影(DSA)引导下,医疗团队为患者进行了局部麻醉。手术团队凭借精湛的技术,通过微创穿刺,将刺激电极精准植入到目标脊髓节段(T8-T11水平)的硬膜外腔,覆盖疼痛对应的神经传导路径。

术中,团队进行了至关重要的电刺激测试。通过体外遥控器反复调整电极组合、电压、脉宽及频率等参数,直至产生的微弱电流完全覆盖患者原有的疼痛区域,且无任何不适。测试成功后,将电极妥善固定。整个手术过程顺利,出血极少,患者生命体征始终保持平稳。

2e48e4df202685817efb42805d649280.png
重获希望,安返病房
开启无痛新生活
术后,钱女士安全返回病房。目前其生命体征平稳,体温36.8°C,脉搏78次/分,正在接受密切监护和后续支持治疗。植入的神经刺激系统将持续工作,帮助她有效控制疼痛,有望显著改善睡眠质量和日常活动能力。

技术延伸
治疗顽固性疼痛的“利器”
脊髓神经电刺激植入术不仅适用于带状疱疹后神经痛,对于腰椎术后疼痛综合征、复杂性区域疼痛综合征、糖尿病周围神经痛等多种药物难治性慢性疼痛也具有良好疗效。我院疼痛与睡眠医学中心将持续深耕疼痛诊疗领域,以先进的微创介入技术和多学科协作模式,致力于为更多疼痛患者解除病痛,重塑优质生活。


来源:疼痛与睡眠医学中心编辑:宣传教育科 胡靖茵

回复

使用道具 举报

发表于 2026-1-27 06:39 手机网页版 | 显示全部楼层 | 来自广东
回复

使用道具 举报

您需要登录后才可以回帖 登录 | 注册账号

本版积分规则